2017年8月30日 / 最終更新日 : 2018年8月14日 武内どうぶつ病院 お知らせ ☆「いわゆるワクチンアレルギーについて」 ☆近年のワクチンメーカの努力によって、副作用や副反応の少ない製品となってきていますが、100%安全で副作用の出ない犬・猫のワクチンは存在しません。ワクチン接種による副作用で一番危惧しなければならないのが、 アナフィラキシ […]
2017年8月26日 / 最終更新日 : 2017年8月27日 武内どうぶつ病院 お知らせ 診察受付時間変更のお知らせ(臨時) ●8月22日(火曜日)は「整形外科」学会に参加の為、午後は休診となります。 ●8月27日(日曜日)は「消化器外科」(肝臓・胆嚢)学会に参加の為、午前11時までの受付となります。午後は休診となります。 さいたま市 大宮区 […]
2017年8月25日 / 最終更新日 : 2017年11月7日 武内どうぶつ病院 症例報告 猫の慢性下痢症。IBDとリンパ腫について(追記あり) 下痢はもっともありふれた症状のひとつですが、対症療法しても下痢が3週間以上続く場合には、「慢性下痢症」と呼ばれ、経過を見る時期を過ぎた状態と考えられています。すなわち、何らかの原因探しをした方がよい時期ということです。 […]
2017年8月24日 / 最終更新日 : 2018年8月14日 武内どうぶつ病院 症例報告 犬の去勢手術(当院での手順と工夫) 犬の去勢手術に対して、簡単にでもイメージ為て頂こうと思い。特に手術のついてクローズアップして書いて見ます。 男の子の不妊手術のことを一般に「去勢手術」と言います。 手術のメリット、デメリットがあり、詳細は割愛いたしますが […]
2017年8月21日 / 最終更新日 : 2018年9月11日 武内どうぶつ病院 症例報告 犬猫の避妊手術と去勢手術。「縫合糸反応性肉芽腫」についても。 安全・安心の医療を目指して治療法に工夫をこらし 日々バージョンアップする獣医学に対応するように心がけています。 特に現代ではより安全でより安心できる医療が求められる時代になってきています。 ごく一般的な手術である。不妊手 […]
2017年8月21日 / 最終更新日 : 2025年6月27日 武内どうぶつ病院 症例報告 脾臓の腫瘍(過形成・血腫・血管肉腫など) 脾臓は、肝臓や腎臓と違って、少しなじみの薄い臓器かもしれません。 特に年齢が増すと、臓器の腫瘍は増えてくる傾向にあります。多くの場合外からでは臓器の腫大には全くと言っていいほど気づきません。ましてや元気や食欲などの症状も […]
2017年8月15日 / 最終更新日 : 2018年8月15日 武内どうぶつ病院 症例報告 膿皮症とスキンケア(湿疹の再発をいかに防ぐか) 膿皮症は犬でもっとも発生しやすい皮膚感染症のひとつです。 特に夏の時期は患者さんの数が増えます。そのひとつとしてスキンケアの重要性が最近言われています。 まず「膿皮症」について簡単にお話しすると、皮膚の感染症が原因で起き […]
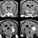
2017年8月15日 / 最終更新日 : 2025年6月27日 武内どうぶつ病院 症例報告 犬の脳炎について(NME, NLE, GMEなど) 犬の脳炎には4つの代表的な疾患があります。最近とくに、「犬の脳炎」が増えているように感じています。 ●犬ジステンパー脳炎 (CDVE) ジステンパーウィルスによって引き起こされると言われています。大脳、脳幹、小脳、脊 […]