犬の脳炎について(NME, NLE, GMEなど)

犬の脳炎には4つの代表的な疾患があります。最近とくに、「犬の脳炎」が増えているように感じています。
●犬ジステンパー脳炎 (CDVE)
ジステンパーウィルスによって引き起こされると言われています。大脳、脳幹、小脳、脊髄など色々な部位に炎症が起きます。発作が主体の症状を示す場合が多いように感じます。昔?「老齢性脳炎」と呼ばれていたものの中には、このジステンパー性脳炎が含まれていたのではないかと言われています。
●壊死性髄膜脳炎 (NME)
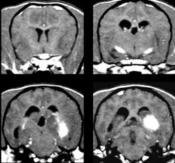
パグ脳炎として知られています。主に大脳が障害の場になりますが、脳幹部(生命維持に必要な重要な場所)に病変を起こすことかもあり、 この場合は進行が早く、私自身の経験でも診断がついて10日後に亡くなられた子もいらっしゃいます。脳腫瘍よりも病状の進行が早い印象です。脳脊髄液を採取して実施する「抗アストロサイト自己抗体」検査は、壊死性髄膜脳炎(NME)の診断マーカー検査として実施しています。※他の脳疾患でも陽性となる場合があります。
●壊死性灰白質髄膜脳炎 (NLE)
ヨークシャー・テリアによく起こるとされ「ヨーキー脳炎」と呼ばれることもあります。大脳に加え、間脳(視床)にも病変が有るのが特徴です。
こちらの脳炎は、(NME)と比べれば、進行が緩徐なタイプもみうけられます。
上記のヨークシャテリア以外にも、チワワ、マルチーズなども好発といわれています。当院の例では、チワワさんが多いです(ロングコートのチワワさんが多い印象です)
●肉芽腫性髄膜脳脊髄炎 (GME)
上記の脳炎はいわば、「脳細胞が壊される」疾患ですが、こちらは肉芽腫といわれる、塊状の炎症が脳にできるものです。脳神経に「腫れ物」ができるイメージです。
したがって、脳腫瘍に類似しているとも言えます。脳を圧迫することも多い為、様々な症状を呈してきます。
脳内の色々な場所に生じ得ます。このGMEには、「眼型」というタイプがあり、突然の視力消失など眼の症状で発見されるものがあります。これは、GMEの初期病変なのか
独立したタイプなのかは良く分かっていません。
当院でもマルチーズの子で「眼型のGME」の患者様がいらっしゃいます。
★てんかんと診断されたけれども神経症状が日に日に進んできている場合や、最近いつものてんかん発作と違うなどの場合。
さらにパグ、ヨーキー、マルチーズなど脳炎の好発犬種といわれる子は、「脳炎」を考慮して、MRI検査や脳脊髄液の検査を考慮してもよいと思います。
※早期発見により、病状を抑えたり、緩和したりすることも可能です。
◎「現在、脳炎となり頑張っている子たちへ。」
脳炎だからといって、何もできないということはありません。現在できることをがんばっていきましょう!
ステロイド以外にも、最近では効果のある薬の報告がございます。最近では「キロサイド」成分名「シタラビン」(シトシンアラビノシド)や
シクロスポリンなどの有効性も報告されています。
当院でもいくつかの治療選択肢をお示しするようにしています。
さいたま市 大宮区 武内どうぶつ病院 獣医がん学会認定「獣医腫瘍科認定医Ⅱ種」
