犬鞭虫症(いぬべんちゅう):消化管内寄生虫症

この虫は体の後端が、ムチのような形をしているのが特徴です。成虫は、盲腸や結腸の壁に潜り込むように寄生しています。
そして、体液である栄養や血を吸血しています。感染原因はこの「寄生虫の卵」を摂取したことによるものですが、犬がこの寄生虫の卵だけを
食べるわけではありません。 感染している子の便の中にはこの卵が含まれていて、それを偶発的に経口摂取してしまうことが原因です。
雨風で便の形は無くなってしまっても、「寄生虫の卵」は土の上や、草に付着して残っていることも多いのです。

わんちゃんは、日常の生活においても、泥や草を舐めたりすることが多いものですから、偶然に「ペロッと」したときに、お口の中に「寄生虫卵」が紛れ込む機会となるのでしょうね。
ちなみに、感染してからどのくらいたつと、便から虫卵を排泄するようになるか?
これを「プレパントピリオド」と呼ぶのですが、犬鞭虫の場合には、74~87日と言われています。
症状ですが、小数の感染では全く症状を示さないことが多いです。しかし、有る一定以上の数が感染していると、慢性の下痢症、粘血便やしぶり便などの症状がみられます。
多量寄生では、食欲不振やひどい血便や粘血便がみられ、時には貧血がみられたりします。(最近この地域ではまれです)
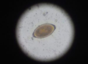
こちらのわんちゃんは、さいたま市に遠方から引っ越してこられました。長引く下痢症の為に、ご来院いただきました。
便検査を実施したところ、写真にあるように、「レモンの形」をした鞭虫に特徴的な形の卵が検出されました。

さっそく駆虫薬を飲んで頂いたところ、便の改善に向かいました。
現在では、「症状を示していない寄生虫感染症」は有る一定以上の確率で存在しているとされています。そのために、「定期的駆除」という考えかたがあります。
フィラリアを予防するように、定期的に「駆除薬」を飲んで、知らずに潜んでいる寄生虫を退治しましょう!という考え方です。便検査をしても100%検査で
発見できるとは限らないためです。最近のフィラリア予防薬には、この「駆虫薬」が配合されているタイプもあるので、そちらを選択するのもおすすめです。
今回の「犬鞭虫」以外にも「回虫」「鉤虫」「条虫」など、色々なタイプの寄生虫がいますので、年に1回は「便検査」をしてみることは大変良いことです。
★寄生虫感染症についても、ご相談ください。 武内どうぶつ病院
