「尿管結石」と「子宮蓄膿症」

今まで泌尿器疾患を患った経験の無い子でも「尿管結石」は生じ得ます。しかもご家族様が気づかないうちに、、。
泌尿器疾患の代表である膀胱炎ですが、こちらも症状に乏しい「かくれ膀胱炎」がとても多いです。症状が軽度で気がつかないことが多く、超音波検査をして始めて判明することがよくあります。決して、ご家族の方が無頓着というわけではありません。当院でも「わんちゃん、猫ちゃんドック」という、人間ドックに当たる総合健診を実施しているのですが、その際に行う、超音波検査で「これは疑わしい」という所見が見つかり、よく調べてみると実は「膀胱炎」だったということが非常に多い印象です。
実はこの「かくれ膀胱炎」は「結石」を伴っていることも多いのです。また密かに進行し、腎臓に炎症を引き起こすことがあります。「腎盂腎炎」はその代表です。もちろん、腎臓内に結石を生じることもあり、「腎結石」となります。
この腎結石や尿管結石は、小さな物では尿路閉塞を起こさないこともあるため無症状で進行していくこともあります。
人間ですと、尿管結石は血尿がでたり、あまりに痛くて救急車を呼ぶこともあると聞いたことがあると思いますが、わんちゃん猫ちゃんは「症状が全くでないこともある」のです。特に片側の尿管にのみ存在する場合には症状がでにくいのです。(年に最低1回は「画像検査を含んだ総合検診」を受けられることをおすすめします)
尿管結石についての内容を簡単にまとめると。
1.時々血尿や細菌尿がでたりするが、全く無症状であることも多い。
2.片側のみであれば、腎機能は正常のことが多い(絶対ではない)
3.もし、反対側が正常でない場合には、「腎機能低下」となり「尿毒症」に至ることがある。
4.尿管結石が存在しても、必ずしも尿路閉塞とはならない。
診断と治療
「尿管結石」が疑われる場合には以下の様な手順で進めていきます。(☆絶対というわけではありません)
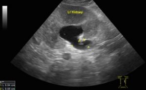
1レントゲンや超音波画像診断で、結石の位置と大きさ、数(一個とは限らない)を確認。超音波検査(エコー検査)を実施すると腎盂という部分が拡張し、尿管の太さもが大きくなっている所見が見られます。このような所見は、どこかで尿管が詰まっています。その原因は「尿管結石」が多いのですが、その他にも腫瘍の発生を含め様々な原因が考えられます。
2尿管結石が左右どちら側にあるのか調べる。
3尿検査を実施して、膀胱炎の有無、結晶の有無と種類、尿比重、潜血などをチェック
4血液検査を実施して、全身状況を調べる。
5静脈性尿路造影を実施して、左右腎臓の排泄性の確認をし、水腎、水尿管、尿路閉塞の有無をチェックする。
治療は手術にて、「結石」を除去することになりますが、必ずしも全ての子が手術適応になるわけではありません。
◎「手術不適応になる場合」
1慢性腎疾患(腎不全)の末期にあり、麻酔リスクが高いと判断される場合
2結石のある側の腎機能がすでに失われている場合
上記に当てはまる場合には、残念ながら手術が実施できません。かえって手術したことで、ご家族様にも動物にも負担になる場合が多いからです。もちろん、結石があるが、閉塞が無い場合には即時手術の適応にはなりません。
☆当院での手術例
数日前から、元気食欲ないということでご来院されました。
各種検査(血液検査、レントゲン検査など)したところ、「子宮蓄膿症」であることが判明しました。この時点ですでに「腎機能検査」では異常を示していました。子宮蓄膿症ではすでに腎機能低下状態となっていることが少なくありません。
しかし、詳細な超音波検査の結果、尿管結石が併発していることが判りました。

腎機能を低下させる疾患に同時に2つ罹患している形となり、不運がかさなった形となりました。
すでに腎臓から尿が流れ出ずに腎臓が膨れはじめています。このままでは腎機能はどんどん低下しついには「水腎症」となり「尿毒症」となってしまいます。
造影剤を用いて静脈性尿路造影を実施することも考えましたが、すでに「子宮蓄膿症」で腎機能低下にありましたので、造影剤の投与はさらなる悪化要因になり得ると判断し実施は取りやめました。
今回は充分に超音波画像診断を実施し、1箇所かつ片側のみの尿管結石と判断し、
「子宮蓄膿症と尿管結石」の2つの手術を同時実施することになりました。
子宮蓄膿症の手術自体は難易度の高い手術ではありませんが、術後の合併症(低血圧や腎機能低下、多臓器不全など)が生じやすい代表的疾患です。私自身は「子宮蓄膿症」の治療の大部分を占めるのが術後管理だと思っています。

ご家族様にご説明し手術を行うことになりました。信頼いただき、託していただいたご家族様のご決断に頭が下がります。
まずは子宮蓄膿症の手術から開始です。子宮体部に水疱ができています。念のため病理検査にまわします。

次に詰まっている尿管結石部位を探し出します。

切開を加えて、尿管結石を取り出しカテーテルにてフラッシュし膀胱までの通過に問題ないか確認しているところです。


狭窄しないように、縫合します。色々な縫合法がありますが、今回は切開線に沿って縫合しました。摘出した「尿管結石」です。

実後は酸素室にて、回復期を過ごすことにしました。手術終了後1時間後の様子です。
手術後は、大人しくしていましたが、しだいに元気になってきて、退院時には吠えるまでに回復しました。
幸運にも、現在腎機能は正常に戻っており元気な生活を取り戻しています。現在も引き続き結石ができないようにモニターしています。
