尿路結石症(特に犬の膀胱結石について)

尿路とは、文字通り「尿の通り道」のことです。尿路結石症は、腎臓から尿管、膀胱、尿道のどこかに「結石」が生じる(存在する)疾患です。
以前の症例報告で、「犬の尿管結石の手術」の記事を書きましたが、尿路結石の大部分は、膀胱に生じる膀胱結石です。
またオスにおいては、尿道結石が問題になることがあります。尿道に結石が詰まってしまうと
排尿が充分にできなくなってしますため、タラタラと尿が雫のように垂れてしまったり、時に腎臓に障害をおこし急性腎不全に至る事もあります。
結石にはいくつか種類が知られており、「ストラバイト結石」「シュウ酸カルシウム結石」「アンモニア尿酸塩結石」「シスチン結石」「シリカ結石」などがあります。
(猫では「尿酸塩結石」「シスチン結石」は極めてまれとされています)
結石の種類は性別、年齢や品種などによりさまざまです。
「ストラバイト結石」
昔は膀胱結石と言えばコレ、というくらいメジャーなタイプでした。最近は減少傾向にあります。ストラバイトと言ったり、ストルバイトを言ったりします。
「リン酸アンモニウムマグネシウム」通称MAPと呼んだりもします。尿路感染症が背景に存在することがあります。飲水量が少ない子や女の子での発生が多いとされています。ミニチュアシュナウザー、プードル、コッカースパニエル、ビションフリーゼなどが好発犬種とされています。
「シュウ酸カルシウム結石」
「ストラバイト結石」に代わり、現在はこちらのタイプの結石が発生頻度首位になってきています。飲水量の少ない子や男の子、高齢の子に発生が多いと言われています。
ミニチュアシュナウザー、プードル、シーズー、ヨークシャーテリア、ビションフリーゼなどが好発犬種とされています。
「アンモニア尿酸塩結石」
前2者に対して、この結石にはある程度発生に特徴があります。発生頻度は多くありません。特にダルメシアンの子に好発します。また、肝臓疾患(門脈シャントと呼ばれる疾患)を持っている子にも生じやすい結石です(ヨークシャテリアなど)。女の子より男の子により発生が多いと言われています。このタイプの結石は単に「石」の治療ではなく合わせて肝臓のケアーが必要になることもあります。
原因は、尿の濃縮、尿のpH,細菌感染の有無、尿中のアンモニウムイオンやリンイオンの増加、炎症の有無など、色々なファクターが合わさって生じます。
診断は、尿検査、レントゲン検査、超音波検査などを総合して石の存在と場所、形状、大きさなどを調べます。
尿道結石の完全閉塞などは、早急に手術になる場合もあります。
結石以外の疾患、たとえばオスならば「前立腺疾患」や「会陰ヘルニア」メスならば子宮疾患なども鑑別に入ってきます。
比較的まれですが、神経疾患による排尿障害なども見受けられます。

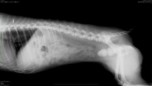
★膀胱結石のレントゲン写真★ 骨盤の前におにぎり型の結石が2つ認められます
治療
ストルバイト結石で小さい物は、食餌療法で溶解を試みることができますが、大きなものや食餌療法に反応の乏しいものは外科的に取り出します(膀胱切開術)
また、「シュウ酸カルシウム結石」は体内ですでに「石」の形成が確認された場合、食餌療法での溶解は困難とされています。確認ができた時点で
外科的摘出を考慮します。

上記の膀胱結石は、レントゲンの子から摘出したものです。こちらは「ストルバイト結石」です。

上記は別の子で摘出した「シュウ酸カルシウム結石」です
手術について。
膀胱結石だけならば、手術自体に大きなリスクは通常ありません。
術前の各種検査で麻酔リスクや、結石以外の疾患が隠れていないかをピックアップできたなら、手術方法に特別なものはありません。
ただし、ひとつだけ昔と今では違ってきている実情があります。それは「耐性菌」の存在です。もし耐性菌であった場合には、通常の抗生剤や抗菌剤を投与しても、細菌感染が改善しないことになります。
膀胱結石のみならず「結石」一般にいえますが、細菌感染を併発していることがとても多いものです。
ましてや、「多剤耐性菌」の場合にはさらにやっかいな問題となります。

画像の質が悪くてすみません。この写真は尿の顕微鏡写真です。白血球、上皮細胞、細菌が認められました。
※書物にも、膀胱結石手術を実施する場合に、術前に細菌培養検査と薬剤感受性検査を実施しておくことは極めて重要と記載されています。
膀胱結石についてもご相談ください。 さいたま市大宮区 武内どうぶつ病院
