胃内異物(「マカダミアナッツ中毒」)

1歳 のシーズーの女の子が、吐気があるらしいが、何も出てこないということで来院されました。
いつも当院にトリミングにご来院いただいている子で、いつもは元気いっぱいな子です。そんな子が、いつもの元気がなく、どこか調子を崩しているのは明らかな状況でした。
なにしろ、「ボー」としていて、覇気がありません。
歩かせてみると、ふらついています。
1歳の犬が、元気なくふらついている。吐こうとしても何も出てこない!
そうなると、真っ先に疑うのは異物か中毒物の摂取です。
しかし、お連れになられたご家族さまにも、心当たりは無いとのことでした。
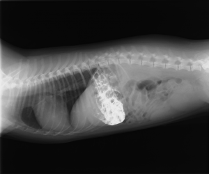
レントゲン検査をしてみると、胃内に何か物が認められます。これが吐気の原因のようです。
あらためて、ご家族様に確認を取りましたが、やはり心当たりはないとの事。


こちらは、造影剤投与後のレントゲン写真です(この時点では、胃内異物が何であるか判明しませんでした。)
この後、時間をあけて再度撮影しましたが、胃の内容物は全く移動しませんでした。胃停滞が生じているようです。
それにともない、腸内のガス貯留像が増えてきました。あまり良い所見ではありません。
こうして、検査とご説明している間にも、犬の元気はどんどんなくなっていきます。首をうなだれて寝てしまいそうな状況です!!
急遽胃切開手術となりました。
胃の中の物が何であれ、状態が悪化していく以上待つ程に進行しくのなら躊躇している暇はありません。

胃にアプローチしたところです。
切開したところ、白い色をした軽石の様な物が多量にでてきました。そして、この時点ではこの「物体」が何かわかりませんでした。
胃の中の「物質」を残らずとりだし、看護師さんに内容物を確認してもらうように指示をだし、胃内を洗浄して溶け出したであろう成分を、可能な限り吸引除去していきました。
そうこうしていると、さきほどの看護師さんが、「先生、これナッツです。マカダミアナッツ!」

上は、取り出したナッツの一部です。実際には、この2倍くらいの量のマカダミアナッツが胃内にはいっておりました。
全てが理解できました。
この子は、多量にマカダミアナッツを摂取してしまったことによる中毒をしめしていたのです。
後ほど判明したことですが、業務用のマカダミアナッツ缶詰を一缶くらい食べてしまったようでした。
今回は手術前に十分な情報が得られなった為に開腹手術となりました。
マカダミアナッツには毒性があります。
★まとめ★
今回の場合、「もし事前にマカダミアナッツを食べたことが判っていたとしたら」どうしたかなぁと自問自答しました。
まずは、催吐処置を実施したかもしれません。
しかし、来院時すでに吐こうとしても吐けない状態であったことから、催吐処置は無効であるか、状態の悪化を引き起こしてしまう可能性もあったと思います。
無理をして催吐剤を使用し、誤嚥をおこして誤嚥性肺炎や食道内異物となり、むしろ状態を悪化させてしまうことが予想されます。すでに、この子は、マカダミアナッツ中毒の中毒症状を示していました。
すなわち、意識レベルが落ち、沈鬱が生じ、フラフラして歩けないといった症状です。
こうした状況を総合すると、
まずは入院にて静脈確保をして2号液or3号液などの維持液をメインとした静脈点滴しながら、定時的にレントゲンやエコーなどの画像診断を行い、厳重に腸閉塞を起こしてこないかをモニターしていっただろうと思います。その過程で症状が消えていき、消化管内容物も流れていってくれれば退院という流れです。
最低でも、丸一日は入院治療となったと思います。
腸閉塞の状態に至れば、開腹手術ということで。
◆「マカダミアナッツ中毒」のまとめ(情報、症状、治療など)◆
以下に、現時点での私自身の「マカダミアナッツ中毒」についてまとめてみました。
- 体重当たり2.2~62.4gの量のマカダミアナッツを摂取すると、中毒症状がでる。(幅がありすぎですよね。)
- この中毒は犬のみ知られている。
- マカダミアナッツ摂取後、12時間以内に症状がでる。
- 一般的に(閉塞に至らなければ)48時間以内に症状は消失する。
- 主に後ろ足の脱力がみられ、時に全身性の脱力がみられる。
- 通常、前肢だけの脱力はみられない。(他の疾患を考える)
- 運動失調、発熱、震えが生じることがある。
- 「マカダミアナッツのチョコレート」を食べた際には、当然であるが同時に「チョコレート中毒」(メチルキサンチン)を考慮しなければならない。
- 吐かせることができれば、催吐させる。
- 活性炭を投与する。
- 必要に応じて、静脈点滴や低体温に対してのケアを行う。
マカダミアナッツ中毒での死亡例は報告がないようですが、異物としての閉塞は起こる可能性が考えられます。
特に、食べたマカダミアナッツが少量の場合には、一般的な内科的な治療で多くは回復するとされていますが、盗食には充分に注意してくださいね。
武内どうぶつ病院
